A woman with a smile, looking into a mirror while holding a small magnifying glass.

Smile Gallery

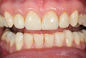
The image shows a person with an open mouth, revealing teeth that are discolored and possibly damaged or decayed.

Before

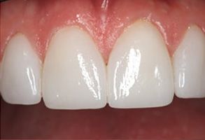
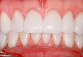
The image shows a close-up of a person s teeth, with the individual smiling broadly.

After

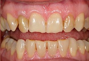
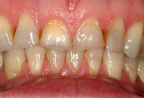
The image shows a close-up of a person s teeth with an open mouth, revealing the upper and lower dental arches.

Before

Alt text  A close-up view of a person s teeth, showing yellow staining and a pink gumline.

After

The image shows a close-up of a person s smiling face, focusing on their teeth and lips.

Before

A close-up of a person s smiling mouth, showcasing white teeth and lips, against the backdrop of a blurred facial feature.

After

The image shows a close-up of a person s teeth, with the focus on the lower front teeth which appear to be in need of dental care.

Before

Image of a close-up view of a person s teeth with a focus on the lower front teeth, showcasing a bright smile.

After

The image shows a close-up view of a person s teeth with yellow staining, indicating the need for dental care or cosmetic treatment.

Before

The image shows a close-up of a person s teeth with a focus on the front teeth, which appear to be crooked or misaligned. The photo is taken from a perspective that captures the lower half of the face, showcasing the individual s smile.

After

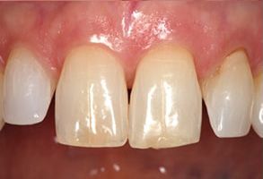
An image of a close-up view of a person s teeth, showcasing a dental implant and surrounding natural teeth with signs of wear.

Before

The image shows a close-up of a person s teeth, focusing on the lower front teeth which are white with a natural appearance.

After

The image shows a close-up of a person s teeth with visible staining and discoloration, particularly in the front teeth.

Before

The image shows a close-up of someone s teeth, with the focus on the lower front teeth which appear to be discolored or stained.

After

Schedule a visit today!
Contact Us
Submit

Thank You!

We appreciate you taking the time to visit our site. We'll review your message and be in touch with you soon.

Continue
An old-fashioned train station with a red roof, situated on railroad tracks.